Association des Mycologues Francophones de Belgique asbl
amfb
Retour

Société Wallonne de Microscopie (SWM).

Images - biologie générale.

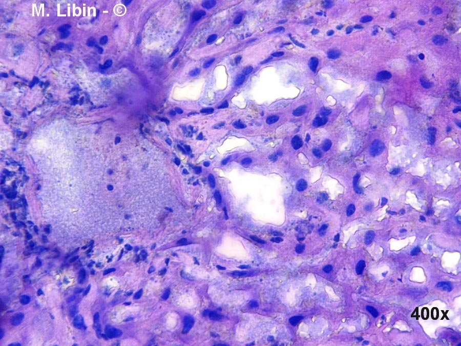
Souris, coupe longitudinale dans le foie
(M. Libin)

Souris, coupe longitudinale dans le foie

Souris, coupe longitudinale dans le foie

Souris, coupe longitudinale dans le foie