Association des Mycologues Francophones de Belgique asbl
amfb
Retour

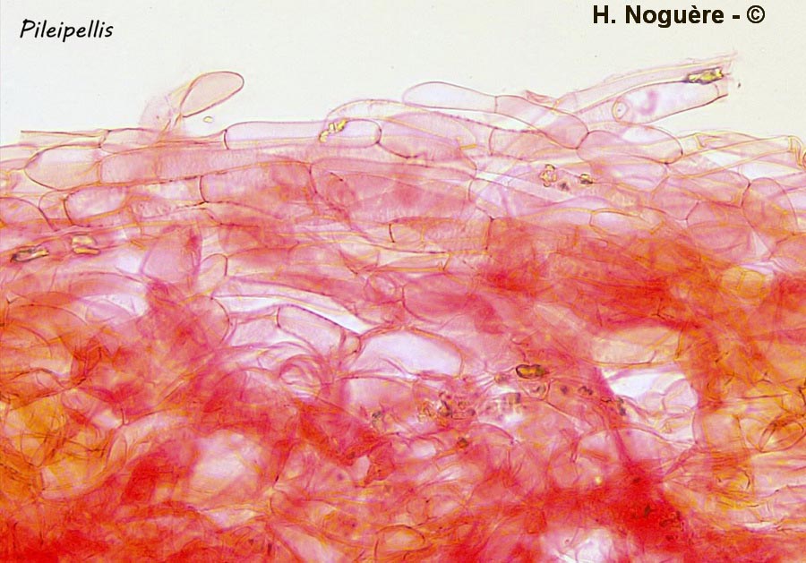
Myco-microscopie : cuticule.

Galerina clavata
(M. Pérez De Gregorio, H. Noguère)
(spores - basides - cystides - champignon - hyphes)

Galerina clavata

Galerina clavata

Galerina clavata