Association des Mycologues Francophones de Belgique asbl
amfb

Retour

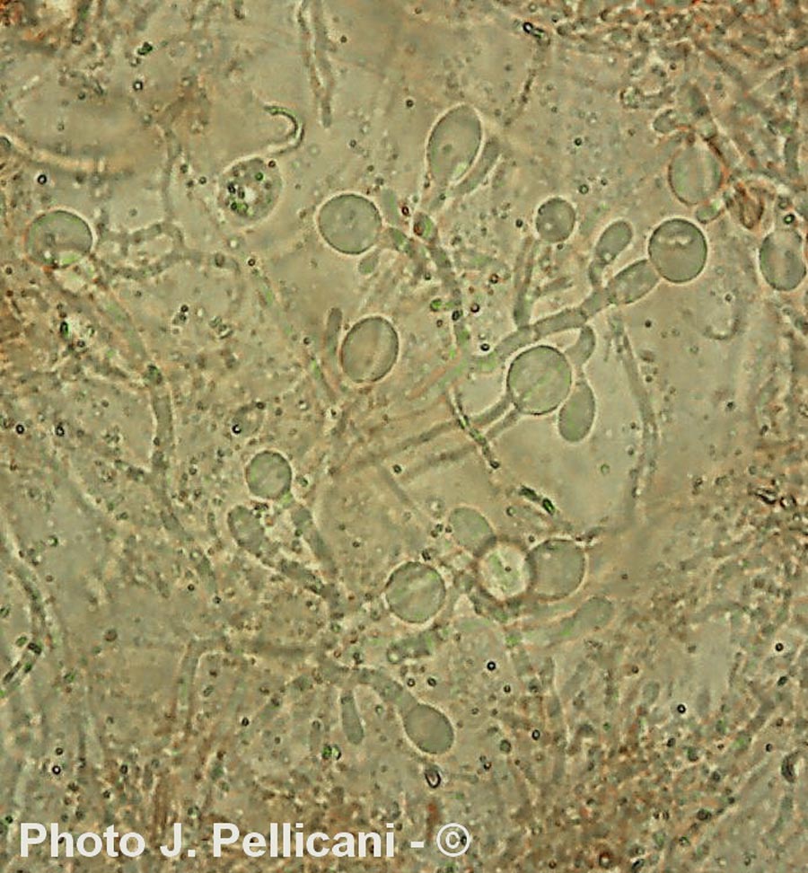
Myco-microscopie : basides.

Craterocolla cerasi
(J. Pellicani)

(spores - champignon)

Craterocolla cerasi

Craterocolla cerasi

Craterocolla cerasi